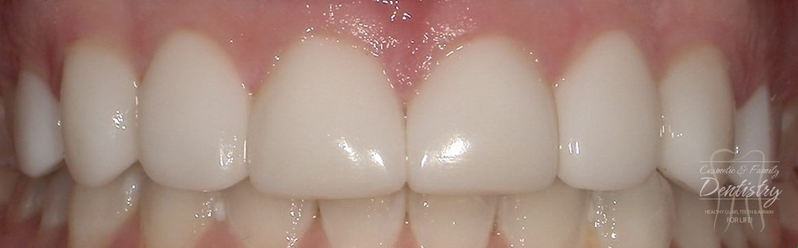
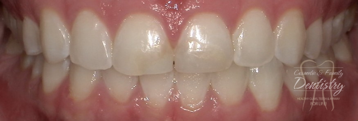
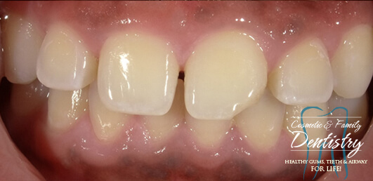
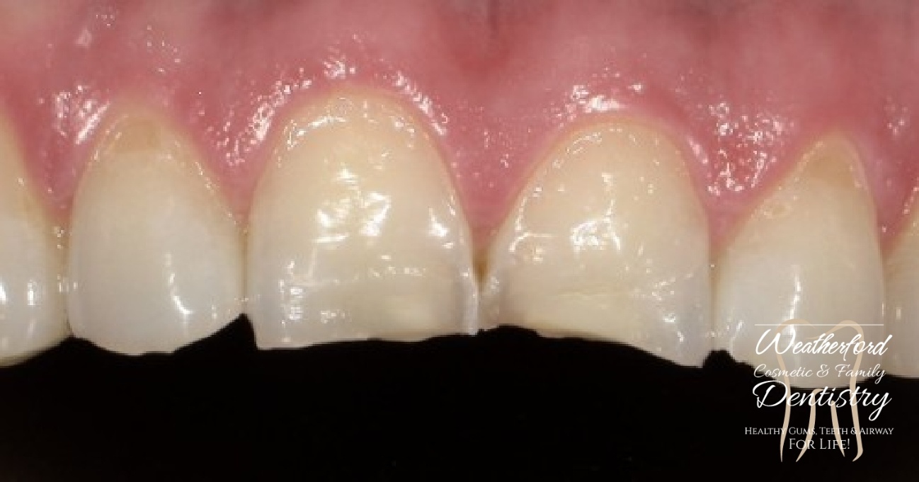
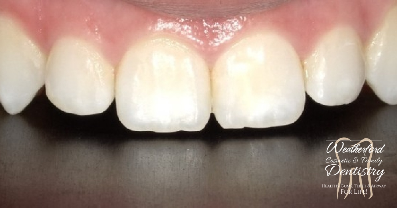
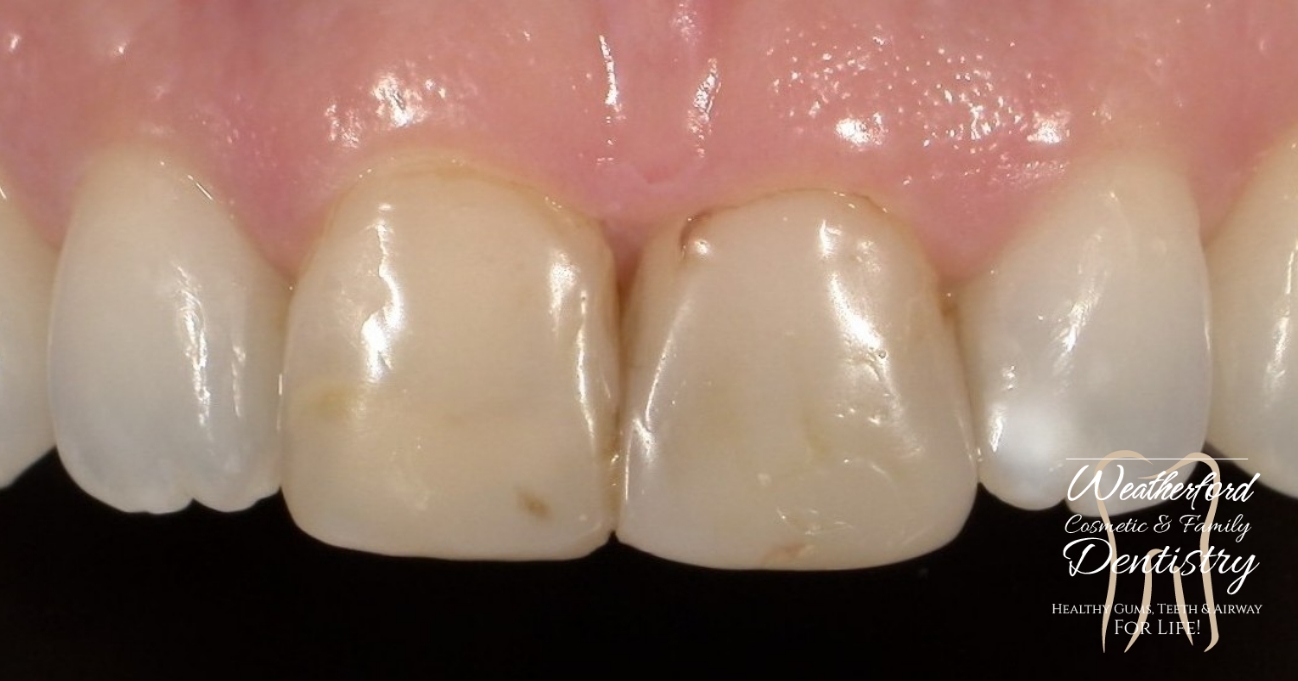
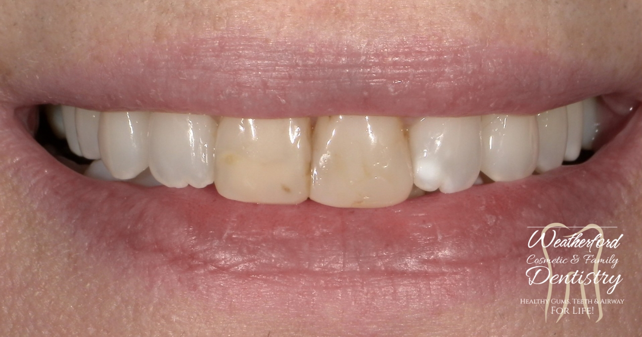
Do you have a chipped tooth or spaces between your teeth? Or do you suffer from unsightly black triangles near your gumline? These aesthetic issues can deprive you of confidence in your smile. Traditionally, cosmetic dentistry treatments like regular dental bonding, veneers, and even crowns are used to address these problems and improve the appearance of teeth. Now, though, most patients are candidates for a more elegant solution: Bioclear in Weatherford. Ours is the first dental office to be certified and trained to do Bioclear in Parker County. Contact us to learn more about this unique treatment option.


Bioclear is a special type of dental procedure that was developed in 2007 by Dr. David Clark. Since then, countless dentists have discovered Bioclear’s potential to help patients achieve their smile goals. In fact, its results can even surpass what veneers can deliver.
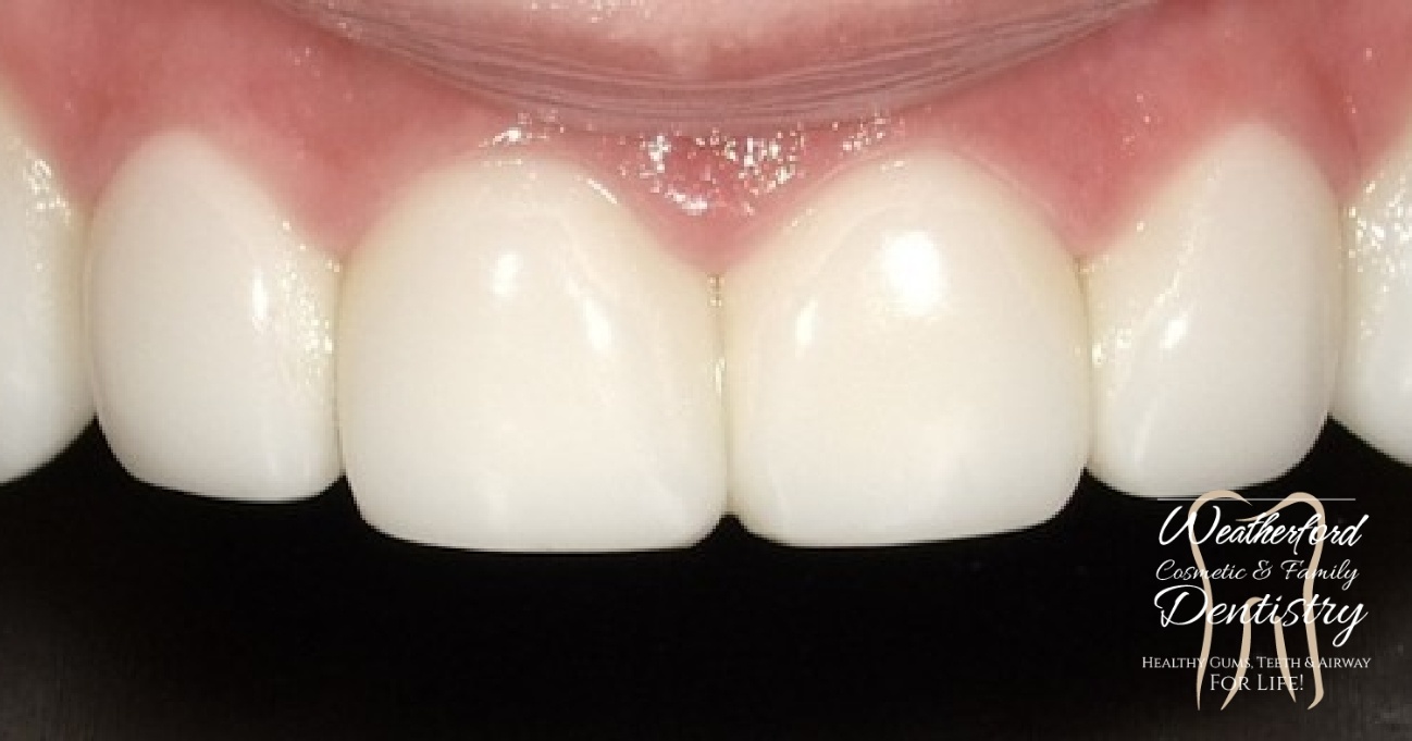
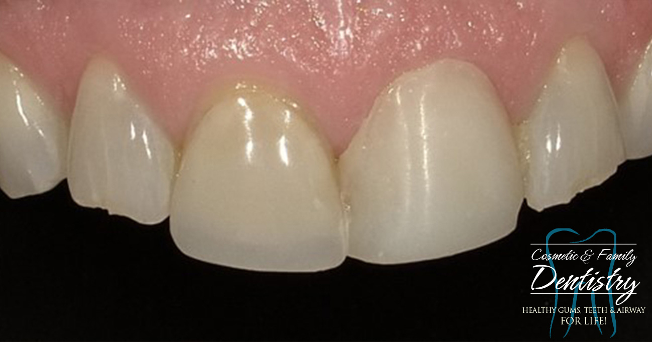
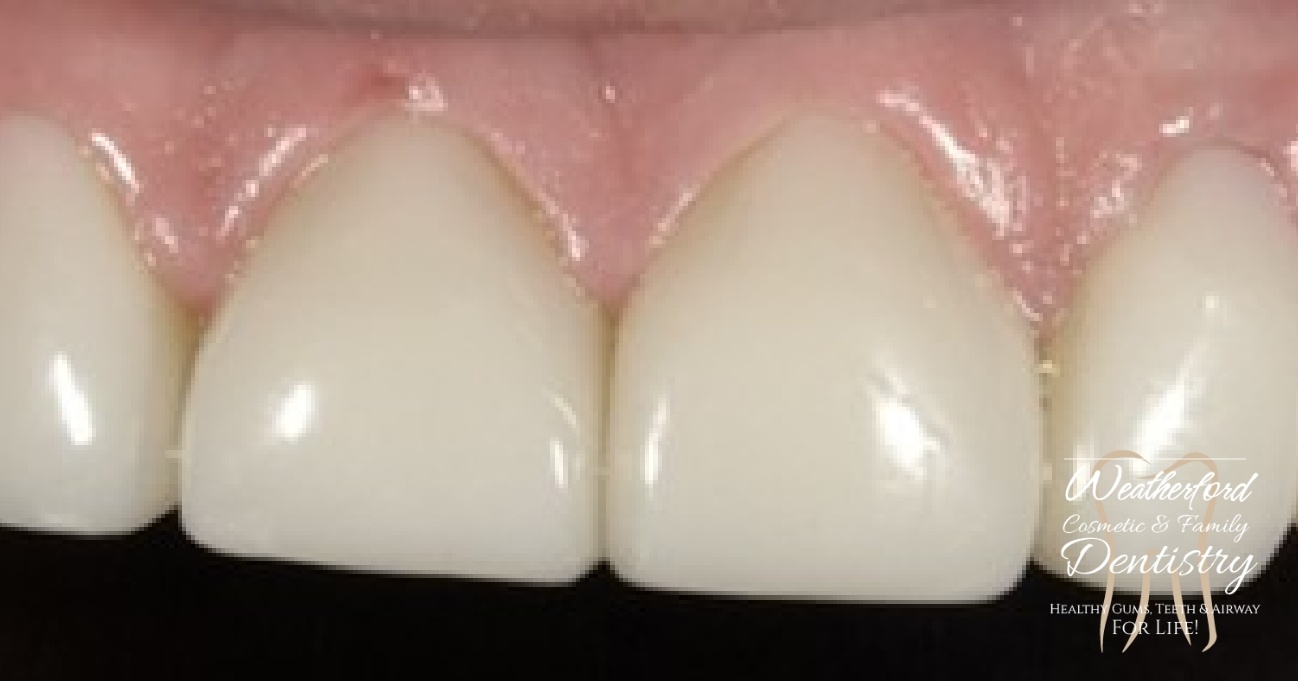
The Bioclear method involves wrapping a tooth with a heated composite resin. Specially shaped matrices hold the composite in place and ensure that the treatment produces a perfectly shaped tooth.
Some of the primary benefits of Bioclear include:

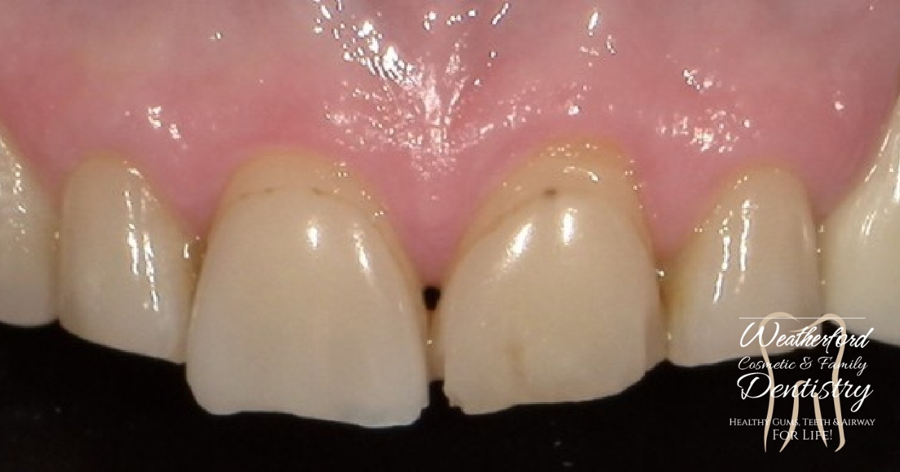
Bioclear can correct several aesthetic imperfections in teeth, including:

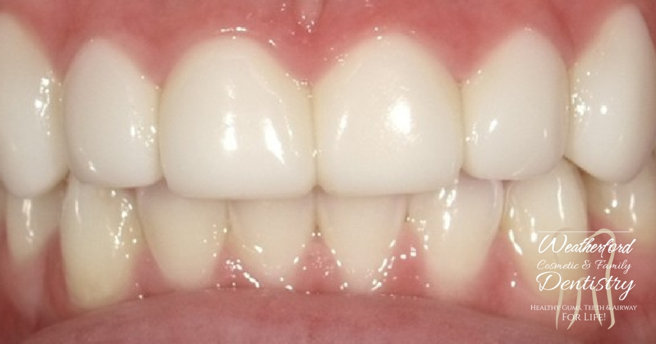
The Bioclear process is both fast and comfortable. We begin by cleaning the teeth, removing any trace of biofilm on them. Next, we use thin mylar forms, otherwise referred to as matrices, to wrap around the tooth. We inject a heated composite resin, which is shade-matched to your teeth, into the matrices. A curing light hardens the resin in just a few seconds. To finish the treatment, we make any necessary final adjustments to the shape of the bonding and polish it to a smooth, natural-looking finish.
Bioclear is a revolutionary cosmetic treatment! If you are interested in it, our Weatherford team will be pleased to answer your questions during your consultation. Before then, however, you can learn more about this service by taking a look at the FAQs listed below. Hopefully, you will discover something that will help you get excited about enhancing your smile with Bioclear!
It is common for Bioclear to last 10 years or longer. Of course, the results of your treatment might have a longer or shorter duration. It depends largely on how you care for your smile. Thorough oral hygiene, regular dental checkups, and other simple measures can help your Bioclear to stand the test of time.
When your Bioclear needs to be replaced, you can enjoy an easy treatment process. It is simpler to remove than veneers, so you can have a new smile with as little effort as possible!
Bioclear uses a composite resin that is similar to what is used during dental bonding. However, the unique Bioclear technique makes the results more durable and more resistant to stains.
Bioclear is different from crowns and veneers because it does not require significant modification of the underlying tooth enamel.
Bioclear has the potential to brighten your smile by hiding mild to moderate discoloration. However, it is somewhat translucent, so it cannot hide severe stains and discoloration to the same extent as porcelain veneers.
Many patients choose to have their teeth professionally whitened before they move forward with Bioclear. That way, the Bioclear resin can be matched to your brightened teeth to create a look that is more radiant overall.
The cost of Bioclear depends on how many teeth need to be treated and other factors. During your cosmetic consultation, we can discuss some specific numbers. Bioclear tends to be more affordable than veneers, making it a great option for many budget-conscious patients.
Insurance does not usually cover Bioclear because it is considered to be a cosmetic, purely elective procedure in most cases.
Almost anyone with aesthetic imperfections in their teeth can benefit from Bioclear. It can even be used on children in many cases! If you have any untreated cavities or gum disease, they will need to be addressed before you commit to cosmetic treatment.
If you are unsure of whether Bioclear is right for you, simply talk to our team. After we examine your mouth, we can make an expert recommendation on the treatments you need to achieve your goals for your smile.
I Need a Checkup & Cleaning I Need Help with a Lip and/or Tongue-Tie I am Worried About Gum Disease I Have a Cavity or Broken Tooth I am Missing One or More Teeth I Want to Enhance My Smile I Want a Straighter Smile I Have Jaw Pain I am Scared of the Dentist I'm Having Trouble Sleeping I Have a Dental Emergency View Our Services